자연스럽고
우아하게
확실한 리프팅
want plastic surgery
리프팅
리프팅
원트 리프팅

리프팅 어색할까봐 걱정돼요
원트의 리프팅은
무조건 위로 당기는 리프팅이 아닌
노화를 복원하는 과정입니다.
얼굴형, 굴곡, 노화 특징, 피부 두께 등 개별 특징을 고려한 전담 의료진의 디테일한 디자인과 맞춤 수술플랜으로 자연스럽게 얼굴의 시간을 되돌려드립니다.

했던 라인으로 리턴


세계 최초 극초단파(Microwave)로
슬림하게 타이트닝!
온다 리프팅은 특허받은
마이크로파 에너지(COOLWAVES)를 사용하며
표피 손상 없이 진피층까지 에너지를 직접 전달합니다.
불필요한 열 손실을 줄이고
필요한 부위에만 에너지를 집중시키며,
지속적인 접촉식 쿨링과 온도 센서로
피부를 안전하게 보호합니다.
나의 얼굴형 고민과 지방 분포도, 노화 형태를
분석해 피부 깊은 층부터 지방층까지 촘촘하게!
갸름한 얼굴선 타이트닝부터
피부 속부터 차오르는 탄력을 동시에 경험하세요.
Check 01
타이트닝, 리프팅, 지방교정을 동시에!

즉각적인 리프팅
얼굴, 목
잔주름 개선
얼굴살 교정
지방세포 분해 유도
타이트닝
시술직후
메이크업, 일상생활
통증없는
리프팅
콜라겐 리모델링
탄탄한 V라인
바디라인
군살 교정
Check 02

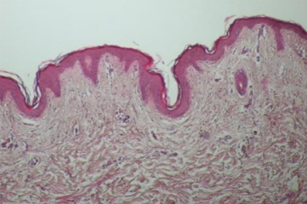
온다 시술전 피부조직

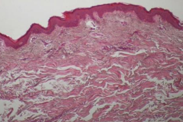
온다 시술 직후 피부조직
Check 03
마른 얼굴, 통통한 얼굴 모두 리프팅 고민 해결!

7mm 깊은 핸드피스
탄탄한 피부 변화
얼굴, 바디 강력한 리프팅 효과
지방 세포 분해 유도
깊은 콜라겐 섬유를 용해시켜 섬유아세포 자극
탄력있는 젊은 콜라겐 세포 생성

3mm 얕은 핸드피스
스킨 타이트닝
얼굴, 목 잔주름 개선
표면 콜라겐 섬유 수축 유도
섬세한 처짐, 타이트닝 집중 시술
want plastic surgery

01
정밀 분석을 위한
3D CT 진단

02
수술 시작부터 회복까지
안전마취 모니터링

03
감염 예방을 위한
무균 수술실

04
상담부터 집도, 정기검진까지
1인 전담 주치의

04
탄력, 부기, 흉터 케어 집중
프리미엄 애프터 케어
want plastic surgery
달라진 라인, 직접 확인하세요!
를 실현합니다.